
Fratura Distal do Rádio
6 de fevereiro de 2025
Lesão do Ligamento Colateral Ulnar do Polegar (LCU)
A Lesão do ligamento colateral ulnar do polegar, também conhecida como lesão do esquiador (Skier’s thumb) ou lesão de Stener pode ocorrer após um trauma em abdução (abertura) do polegar devido à queda com apoio da mão, trauma direto ou com bola no polegar. Na suspeita de lesão do ligamento colateral ulnar (LCU), é importante manter o polegar imobilizado até concluir o diagnóstico e definir o tratamento, que pode ser cirúrgico ou conservador, dependendo do grau de lesão e de instabilidade para a articulação.
O tratamento adequado desta lesão é importantíssimo, pois envolve a estabilidade de pinça do polegar e a capacidade de segurar objetos com a mão.
- Introdução
- Quais exames devem ser solicitados no caso de suspeita da lesão do LCU?
- Como decidir se o melhor tratamento é cirúrgico ou conservador?
- A importância da reabilitação durante o tratamento.
- Perguntas frequentes.
Introdução:
O ligamento colateral ulnar do polegar é fundamental para a estabilidade da pinça, quando lesionado, até tarefas simples do dia a dia podem tornar-se muito difíceis, como abrir a tampa de um pote ou segurar um copo com água. Este ligamento está presente na face interna da articulação metacarpofalangeana do polegar (na base do polegar) e impede a abertura excessiva do polegar quando seguramos objetos.


Quais exames devem ser solicitados no caso de suspeita de lesão do ligamento colateral ulnar do polegar?
Radiografias
Para a avaliação inicial e para a grande maioria dos casos, realizar radiografias do polegar em incidência anteroposterior (AP – “frente”) e perfil são importantes para checar se a articulação está alinhada (se não houve luxação, perda da congruência articular) e possíveis fraturas na base do polegar (diagnóstico diferencial importante)
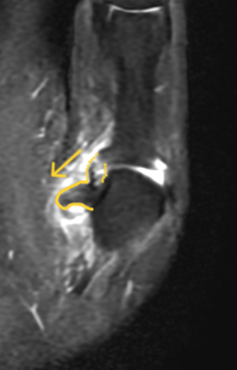
Ressonância magnética (RNM)
O exame de RNM deve ser solicitado para diagnóstico e para definir o grau de lesão do ligamento colateral ulnar do polegar. Na imagem, é possível visualizar o ligamento, o grau de ruptura das fibras e se há interposição de estruturas (geralmente a aponeurose do adutor do polegar) entre o ligamento e a sua inserção, definindo a lesão de Stener.


Ultrassonografia (USG)
Na imagem de USG é possível visualizar a congruência articular das articulações do polegar e realizar manobras dinâmicas para checar a abertura aumentada da articulação metacarpofalangeana e sinais de lesão do ligamento colateral ulnar do polegar. Para realizar diagnóstico correto, o exame deve ser realizado por médico especialista em ultrassonografia da mão e do punho. Não é um exame solicitado de rotina, mas pode ser útil em casos específicos.
Como decidir se o melhor tratamento é cirúrgico ou conservador?
O tratamento pode ser definido de acordo com o grau de lesão do ligamento.
Lesões parciais, geralmente, podem ser tratadas com imobilização, tratamento conservador e sem cirurgia.
As lesões totais do ligamento, definido o grau de acordo com a imagem ou sinais de exame físico sugestivos de lesão total, podem apresentar bons resultados com o tratamento conservador e também com o cirúrgico, a depender do perfil de paciente e características da lesão, mas geralmente, devido à importância de garantir a estabilidade de pinça do polegar, realizamos o reparo cirúrgico do ligamento em casos de lesão completa.
Em alguns trechos do texto, mencionamos a lesão de Stener: Ruptura total do ligamento colateral ulnar do polegar, com interposição da aponeurose do adutor do polegar. Neste caso, há uma “barreira” entre o ligamento e sua inserção (onde ele estava originalmente) que impede a cicatrização adequada do ligamento, portanto, é muito alta a probabilidade de insuficiência do ligamento e instabilidade grosseira do polegar para realizar pinça e segurar objetos, caso não seja realizado o reparo cirúrgico. Salvo exceções, o tratamento mais adequado para a lesão de Stener é o reparo ou reconstrução ligamentar com cirurgia.
Como é a cirurgia para a lesão do ligamento colateral ulnar?
Realizamos incisão na base do polegar de cerca de 2cm, são identificadas as estruturas importantes para a anatomia do polegar, realizada abertura da aponeurose do músculo adutor do polegar e cápsula articular. O ligamento colateral ulnar é reinserido em sua posição original com mini – âncoras com tensão adequada. Todo o procedimento é guiado por radioscopia intra-operatória para maior precisão. Ao final do reparo, a aponeurose do adutor do polegar é suturada reforçando o ligamento e a estabilidade do polegar é novamente testada.



A importância da reabilitação durante o tratamento.
Durante as primeiras semanas de pós operatório, protegemos o ligamento reconstruído com imobilização, que pode ser confeccionada com tala gessada ou órtese moldada por fisioterapeuta ou terapeuta ocupacional. A reabilitação é coordenada em conjunto com a equipe médica e a progressão de movimentos decidida caso a caso, individualmente para cada paciente. Geralmente os primeiros movimentos leves e exercícios para o polegar começam já na primeira semana de pós operatório.

Perguntas frequentes:
Gamekeeper’s thumb e Stener são a mesma lesão?
Não, este termo (Gamekeeper’s thumb) está associado à lesão crônica do ligamento colateral ulnar por traumas repetitivos. Neste artigo, conversamos sobre a lesão aguda, traumática, com ruptura e instabilidade do polegar recente.
Quanto tempo após a cirurgia devo ficar afastado de esportes?
Em pacientes atletas profissionais e de alto rendimento, o retorno deve ser alinhado para ser o mais breve possível, com segurança. Para pacientes que podem realizar o retorno gradual aos esportes, a expectativa é que possa realizar atividades que necessitem de força do polegar em torno de 2 e 3 meses após a cirurgia.
Como saber se rompi o ligamento do polegar?
Se houve um trauma na mão e está com dor na base do polegar, o primeiro passo é procurar atendimento com especialista em cirurgia da mão. No atendimento é possível confirmar a lesão ligamentar, proteger o polegar com imobilização e planejar o tratamento com auxílio dos exames complementares.
Posso continuar com dor no polegar mesmo após a cirurgia de reparo do ligamento?
A dor após tratamento adequado da lesão é infrequente, mas sim, pode acontecer em alguns pacientes após a lesão ligamentar, mesmo reparada. O importante é saber que há tratamento para diminuir e até “curar” a dor pós operatória. Não é necessário “conviver com a dor”, mas é essencial identificar quais os fatores que estão causando dor e realizar o tratamento adequado com medicamentos, terapia da mão e demais recursos disponíveis.





